Skip to content Skip to sidebar Skip to footer

What Does Grossly Unremarkable Mean In Medical Terms

What Does Grossly Normal Mean In Medical Terms Quora

What Does Grossly Normal Mean In Medical Terms Quora

What does grossly unremarkable mean in medical terms. This is directed towards IBS that isthere is a problem with the function of a part of the body but there is no abnormality in the structure. Similarly gross anatomy is the study of anatomy that can be seen with the naked eye. Chemical tests or biopsy might reveal something else.

The radiologist listed most of my organs as grossly normal but a few are just listed as normal Answered by Dr. In medical terminology the term gross means able to be seen with the naked eye as in gross anatomy. Grossly normal usually means that the organ in question may be better assessed with a different imaging study but shows no evidence of abnormality on the current study.

An Unremarkable Body by Elisa Lodato. It is similar to the phrases within normal limits and unimpressive Essentially when a doctor says that a test result is unremarkable he or she means. Its like getting a X - ray of your knee because.

This is a very general term to mean any medication or drug which effects or changes the brains chemistry in such a way that can alter. The word unremarkable in this context means normal. If you have a physicians script written for another imaging facility but would prefer to have your MRI procedure done by us we can accept it.

Gross means at a macroscopic level or visible to the naked eye. Doctors in 147 specialties are here to answer your questions or offer you advice prescriptions and more. For all intents and purposes normal and grossly normal are the.

This would be a fairly typical report for a middle-aged or elderly individual. A1 Medical Imaging provides precision MRI scans that help physicians diagnose a wide range of conditions while accommodating patients with friendly fast and effective medical services. The term unremarkable is often used by physicians lab technicians or radiologists to suggest that the results of a test or scan does not differ from what they would expect to see on a normal test according to Intelihealth.

Grossly Unremarkable means that nothing unusual or wrong can be seen with the naked eye. What is the difference between normal and grossly normal on a ct scan report.

Surgical Pathology Case Study An Elderly Patient With Unexplained Pain An Unremarkable Ct Scan And Enlarged Rugal Folds On Egd Lablogatory

Surgical Pathology Case Study An Elderly Patient With Unexplained Pain An Unremarkable Ct Scan And Enlarged Rugal Folds On Egd Lablogatory

References In Initial Attempts To Modify Dictation Practice Journal Of The American College Of Radiology

References In Initial Attempts To Modify Dictation Practice Journal Of The American College Of Radiology

The Grossly Unremarkable Ambrose Dowling The Banter Series Cleary Mike 9798635412404 Amazon Com Books

The Grossly Unremarkable Ambrose Dowling The Banter Series Cleary Mike 9798635412404 Amazon Com Books

Mri And Ultrasound Abdomen Were Grossly Unremarkable The Biochemical Download Scientific Diagram

Mri And Ultrasound Abdomen Were Grossly Unremarkable The Biochemical Download Scientific Diagram

What Do All Those Medical Terms Mean Health Crowrivermedia Com

What Do All Those Medical Terms Mean Health Crowrivermedia Com

Hips Don T Lie Neither Do Radiologists Penn Medicine

Hips Don T Lie Neither Do Radiologists Penn Medicine

Defining Laterality Of The Descending Thoracic Aorta In A 4 Chamber View Of The Heart Ismail 2010 Journal Of Ultrasound In Medicine Wiley Online Library

Defining Laterality Of The Descending Thoracic Aorta In A 4 Chamber View Of The Heart Ismail 2010 Journal Of Ultrasound In Medicine Wiley Online Library

Defining Laterality Of The Descending Thoracic Aorta In A 4 Chamber View Of The Heart Ismail 2010 Journal Of Ultrasound In Medicine Wiley Online Library

Defining Laterality Of The Descending Thoracic Aorta In A 4 Chamber View Of The Heart Ismail 2010 Journal Of Ultrasound In Medicine Wiley Online Library

Defining Laterality Of The Descending Thoracic Aorta In A 4 Chamber View Of The Heart Ismail 2010 Journal Of Ultrasound In Medicine Wiley Online Library

Defining Laterality Of The Descending Thoracic Aorta In A 4 Chamber View Of The Heart Ismail 2010 Journal Of Ultrasound In Medicine Wiley Online Library

Defining Laterality Of The Descending Thoracic Aorta In A 4 Chamber View Of The Heart Ismail 2010 Journal Of Ultrasound In Medicine Wiley Online Library

Defining Laterality Of The Descending Thoracic Aorta In A 4 Chamber View Of The Heart Ismail 2010 Journal Of Ultrasound In Medicine Wiley Online Library

Mri And Ultrasound Abdomen Were Grossly Unremarkable The Biochemical Download Scientific Diagram

Mri And Ultrasound Abdomen Were Grossly Unremarkable The Biochemical Download Scientific Diagram

A Taste Of Graphic Medicine Camouflaged As Memoir And Medical Critique

A Taste Of Graphic Medicine Camouflaged As Memoir And Medical Critique

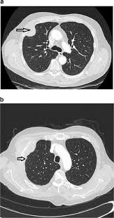
A 40 Year Old Woman With An Asymptomatic Cystic Lesion In Her Right Lung Chest

A 40 Year Old Woman With An Asymptomatic Cystic Lesion In Her Right Lung Chest

Defining Laterality Of The Descending Thoracic Aorta In A 4 Chamber View Of The Heart Ismail 2010 Journal Of Ultrasound In Medicine Wiley Online Library

Defining Laterality Of The Descending Thoracic Aorta In A 4 Chamber View Of The Heart Ismail 2010 Journal Of Ultrasound In Medicine Wiley Online Library

Radiology Report 2 Cases To Test Your Skills Mdedge Family Medicine

Radiology Report 2 Cases To Test Your Skills Mdedge Family Medicine

The Grossly Unremarkable Ambrose Dowling The Banter Series Cleary Mike 9798635412404 Amazon Com Books

The Grossly Unremarkable Ambrose Dowling The Banter Series Cleary Mike 9798635412404 Amazon Com Books

Grossly Unremarkable Joy Murray Art Stories Life

Grossly Unremarkable Joy Murray Art Stories Life

The Grossly Unremarkable Ambrose Dowling The Banter Series Cleary Mike 9798635412404 Amazon Com Books

The Grossly Unremarkable Ambrose Dowling The Banter Series Cleary Mike 9798635412404 Amazon Com Books

Functional Magnetic Resonance Angiography In The Diagnosis Of Iliac Artery Endofibrosis In An Endurance Runner Bmj Case Reports

Functional Magnetic Resonance Angiography In The Diagnosis Of Iliac Artery Endofibrosis In An Endurance Runner Bmj Case Reports

2

2

Defining Laterality Of The Descending Thoracic Aorta In A 4 Chamber View Of The Heart Ismail 2010 Journal Of Ultrasound In Medicine Wiley Online Library

Defining Laterality Of The Descending Thoracic Aorta In A 4 Chamber View Of The Heart Ismail 2010 Journal Of Ultrasound In Medicine Wiley Online Library

A Rare Case Of Unicuspid Aortic Valve With Postoperative Heart Block Cureus

A Rare Case Of Unicuspid Aortic Valve With Postoperative Heart Block Cureus

What Does It Mean When The Report Of My Mri States The Sulci Is Grossly Unremarkable Quora

What Does It Mean When The Report Of My Mri States The Sulci Is Grossly Unremarkable Quora

Weight Loss And Granulomatous Liver Disease Gastroenterology

Weight Loss And Granulomatous Liver Disease Gastroenterology

A Taste Of Graphic Medicine Camouflaged As Memoir And Medical Critique

A Taste Of Graphic Medicine Camouflaged As Memoir And Medical Critique

What Does The Medical Term Grossly Unremarkable Mean Quora

What Does The Medical Term Grossly Unremarkable Mean Quora

What Does Grossly Unremarkable Mean In A Ct Scan Ct Scan Machine

What Does Grossly Unremarkable Mean In A Ct Scan Ct Scan Machine

Defining Laterality Of The Descending Thoracic Aorta In A 4 Chamber View Of The Heart Ismail 2010 Journal Of Ultrasound In Medicine Wiley Online Library

Defining Laterality Of The Descending Thoracic Aorta In A 4 Chamber View Of The Heart Ismail 2010 Journal Of Ultrasound In Medicine Wiley Online Library

Grossly Unremarkable Joy Murray Art Stories Life

Grossly Unremarkable Joy Murray Art Stories Life

2

2

Shows Diffuse Opacification On Chest Which Appears Dense The Download Scientific Diagram

Shows Diffuse Opacification On Chest Which Appears Dense The Download Scientific Diagram

Love Grossly Unremarkable

Love Grossly Unremarkable

A Taste Of Graphic Medicine Camouflaged As Memoir And Medical Critique

A Taste Of Graphic Medicine Camouflaged As Memoir And Medical Critique

Congenital Presentation Of Synchronous Atypical Teratoid Rhabdoid Tumor And Malignant Rhabdoid Tumor Of The Urinary Bladder In A Term Infant

Congenital Presentation Of Synchronous Atypical Teratoid Rhabdoid Tumor And Malignant Rhabdoid Tumor Of The Urinary Bladder In A Term Infant

What Does The Medical Term Grossly Unremarkable Mean Quora

What Does The Medical Term Grossly Unremarkable Mean Quora

Functional Magnetic Resonance Angiography In The Diagnosis Of Iliac Artery Endofibrosis In An Endurance Runner Bmj Case Reports

Functional Magnetic Resonance Angiography In The Diagnosis Of Iliac Artery Endofibrosis In An Endurance Runner Bmj Case Reports

2

2

Defining Laterality Of The Descending Thoracic Aorta In A 4 Chamber View Of The Heart Ismail 2010 Journal Of Ultrasound In Medicine Wiley Online Library

Defining Laterality Of The Descending Thoracic Aorta In A 4 Chamber View Of The Heart Ismail 2010 Journal Of Ultrasound In Medicine Wiley Online Library

Mri And Ultrasound Abdomen Were Grossly Unremarkable The Biochemical Download Scientific Diagram

Mri And Ultrasound Abdomen Were Grossly Unremarkable The Biochemical Download Scientific Diagram

Viruses Free Full Text Virome Variation During Sea Star Wasting Disease Progression In Pisaster Ochraceus Asteroidea Echinodermata Html

Viruses Free Full Text Virome Variation During Sea Star Wasting Disease Progression In Pisaster Ochraceus Asteroidea Echinodermata Html

Leukoencephalopathy Cerebral Calcifications And Cysts A Clinical Case Involving A Long Term Follow Up And Literature Review Journal Of The Neurological Sciences

Leukoencephalopathy Cerebral Calcifications And Cysts A Clinical Case Involving A Long Term Follow Up And Literature Review Journal Of The Neurological Sciences

Papillary Carcinoma Of The Thyroid With Fibromatosislike Stroma Case Report And Review Of Literature Endocrine Practice

Papillary Carcinoma Of The Thyroid With Fibromatosislike Stroma Case Report And Review Of Literature Endocrine Practice

Localized Malignant Mesothelioma An Unusual And Poorly Characterized Neoplasm Of Serosal Origin Best Current Evidence From The Literature And The International Mesothelioma Panel Modern Pathology

Localized Malignant Mesothelioma An Unusual And Poorly Characterized Neoplasm Of Serosal Origin Best Current Evidence From The Literature And The International Mesothelioma Panel Modern Pathology

What Does Grossly Unremarkable Mean In A Ct Scan Ct Scan Machine

What Does Grossly Unremarkable Mean In A Ct Scan Ct Scan Machine

Viruses Free Full Text Virome Variation During Sea Star Wasting Disease Progression In Pisaster Ochraceus Asteroidea Echinodermata Html

Viruses Free Full Text Virome Variation During Sea Star Wasting Disease Progression In Pisaster Ochraceus Asteroidea Echinodermata Html

Diseases Of The Fallopian Tube And Paratubal Region Springerlink

Diseases Of The Fallopian Tube And Paratubal Region Springerlink

Case 30 2020 A 54 Year Old Man With Sudden Cardiac Arrest Nejm

Case 30 2020 A 54 Year Old Man With Sudden Cardiac Arrest Nejm

Sars Cov 2 Infection Leads To Acute Infection With Dynamic Cellular And Inflammatory Flux In The Lung That Varies Across Nonhuman Primate Species Biorxiv

Sars Cov 2 Infection Leads To Acute Infection With Dynamic Cellular And Inflammatory Flux In The Lung That Varies Across Nonhuman Primate Species Biorxiv

Unremarkable Colonic Mucosa Seen During Colonic Endoscopy A And B Download Scientific Diagram

Unremarkable Colonic Mucosa Seen During Colonic Endoscopy A And B Download Scientific Diagram

Grossly Unremarkable means that nothing unusual or wrong can be seen with the naked eye.

This is directed towards IBS that isthere is a problem with the function of a part of the body but there is no abnormality in the structure. The term unremarkable is often used by physicians lab technicians or radiologists to suggest that the results of a test or scan does not differ from what they. I have been wondering about this for a while but why do medical test results say your result was unremarkable. Its like getting a X - ray of your knee because. An Unremarkable Body by Elisa Lodato. The word unremarkable in this context means normal. Similarly gross anatomy is the study of anatomy that can be seen with the naked eye. What is the difference between normal and grossly normal on a ct scan report. What do all those medical terms mean.


Grossly unremarkable means that on gross examinationgeneral outline examination there is nothing found abnormalIn other words there is nothing abnormal found that can be remarkedstated. Similarly gross anatomy is the study of anatomy that can be seen with the naked eye. The word unremarkable in this context means normal. Grossly unremarkable means seems to be normal based on unaided naked e. Gross in medical terminology means able to see with the unaided eye as in without a microscope and remarkable means worthy of talking about. Doctors in 147 specialties are here to answer your questions or offer you advice prescriptions and more. A1 Medical Imaging provides precision MRI scans that help physicians diagnose a wide range of conditions while accommodating patients with friendly fast and effective medical services.

Post a Comment for "What Does Grossly Unremarkable Mean In Medical Terms"